淋菌(りんきん)は淋病(りんびょう)の原因となる細菌で、正式には「ナイセリア・ゴノレエ(Neisseria gonorrhoeae)」と呼ばれます。 主に性行為(膣性交・オーラルセックス・アナルセックス)を通じて感染し、男女ともに発症します。 感染すると、男性では排尿時の痛みや膿(うみ)などの症状があらわれることが多く、女性ではおりものの変化や下腹部の痛みが見られることがあります。 ただし、女性やのど(咽頭)感染では症状が出にくいことも多く、知らないうちに感染が広がるケースもあります。

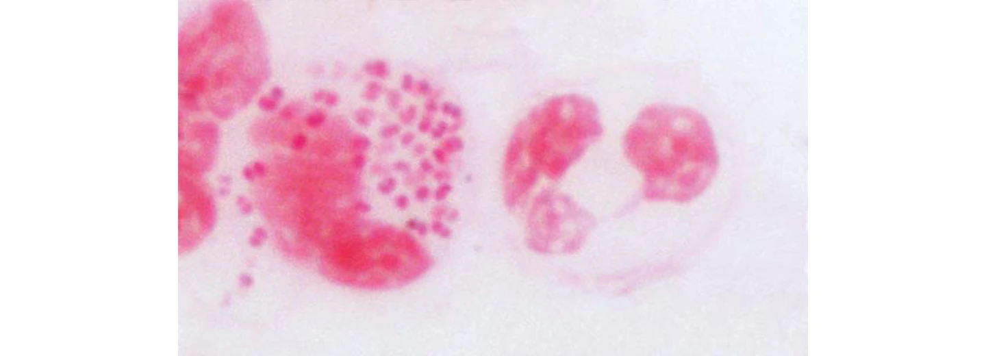
出典:Neisseria gonorrhoeae(JIHS国立健康危機管理研究機構)より
左:小さい粒々が淋菌
淋菌は通常、性交・オーラルセックス・アナルセックスなど、感染部位の粘膜・分泌物との接触で感染します。 その他、分娩時の産道感染(新生児結膜炎)があります。
尿道・子宮頸管・咽頭・直腸・結膜
感染から多くは2~9日(男性は2–7日で症状が出やすく、女性は無症状のことが多い)
体質や感染部位によって個人差があります。
男性では、比較的早く(2〜5日以内)排尿時の痛みや膿(うみ)のような分泌物などの症状が現れることが多い一方で、女性では症状が軽かったり、気づかないうちに感染が進行してしまうこともあります。

男性にみられる症状
※感染が進行すると、精巣上体炎を起こし、睾丸の腫れや痛みが出ることがあります。

女性にみられる症状
※症状が軽くても、放置すると骨盤内感染症(PID)や卵管閉塞から不妊症の原因になることがあります。

その他の症状
男性:精巣上体炎→不妊の原因
女性:骨盤内炎症性疾患(PID)、卵管閉塞、不妊、子宮外妊娠
播種性淋菌感染(DGI):関節炎・皮膚病変、稀に心内膜炎・髄膜炎
母子感染:新生児結膜炎、肺炎
他の性感染症(HIV、梅毒など)リスク増大
多くは、1週間前後で陽性化、2週間でほぼ検出が可能です。暴露直後は陰性でも感染を否定できないため、早期陰性の場合は1–2週間後の再検を推奨します。検出タイミングは、部位(尿道/子宮頸管/咽頭/直腸)や採取法で変動することがあります。
ウィンドウ期とは
ウィンドウ期(window period)とは、感染から実際に検査で陽性と判定できるまでの期間を指します。この期間は、体内でウイルスや細菌が増殖したり、抗体や抗原が検出できるレベルまで達するまでに必要な時間です。ウィンドウ期の間は、実際には感染していても検査結果が陰性になる可能性があります(偽陰性)。
このため、感染の可能性がある日から一定期間が経過していないと、検査の精度が低くなります。早期検査で陰性でも、安心してはいけないケースがあるため、期間を開けての再検査が推奨されます。




性行為は治療完了+陰性確認まで控える
※再感染防止のため
パートナーも同時治療が必須(ピンポン感染の防止)
治療から2〜3週間後に再検査(トリートメントチェック)を推奨
| 診療内容 | 詳細 | 料金 |
|---|---|---|
| 尿検査 | クラミジア・淋菌 | 7,700円 |
| マイコプラズマ・ ウレアプラズマ |
11,000円 | |
| トリコモナス | 8,800円 | |
| 一般細菌培養・同定 | 11,000円 | |
| 咽頭検査 | クラミジア・淋菌 | 7,700円 |
| マイコプラズマ・ ウレアプラズマ |
11,000円 | |
| 血液検査 | HIV・梅毒・B型肝炎・C型肝炎 (4項目) |
14,600円 |
| 単純ヘルペス 抗体検査 |
11,000円 | |
| 性病検査 セット (6項目) |
クラミジア・淋菌(尿検査)・HIV・ 梅毒・B型肝炎・C型肝炎(血液検査) |
19,800円 |
| 性病検査 セット (8項目) |
クラミジア・淋菌(尿・咽頭検査)・HIV・ 梅毒・B型肝炎・C型肝炎(血液検査) |
24,200円 |
| スワブ検査 | 一般細菌培養・同定 | 11,000円 |
| 内服薬 | 5,500〜9,900円 | |
| 注射 | 11,000円 | |
| 尖圭コンジローム 除去 |
88,000〜 175,000円 (範囲・大きさにより異ります) |
|
| 診察料 | 5,500円 |
性病(性感染症)は、正しい知識と予防策を実践することでリスクを大きく減らすことができます。
ここでは代表的な3つの予防法について解説します。
コンドームは性病予防において最も基本的かつ効果的な方法です。性行為の最初から最後まで正しく装着することで、HIVやクラミジア、淋菌など多くの性感染症の感染リスクを大幅に減らすことができます。
ただし、完全に感染を防げるわけではなく、皮膚や粘膜が接触する部位(性器周囲、肛門、口腔など)から感染する可能性もあるため、過信は禁物です。
パートナーの数が多いほど、性病に感染するリスクは高まります。信頼できる相手との関係を大切にし、不特定多数との関係を避けることは予防に直結します。特に、相手の感染歴や検査状況が不明な場合は注意が必要です。
安全なパートナーシップの構築は、自分自身だけでなく大切な人を守ることにもつながります。
性病は初期には無症状のことも多く、自覚のないまま感染が広がるケースも少なくありません。自分やパートナーを守るためにも、定期的な検査を受けることが重要です。特に新しいパートナーとの関係が始まったときや、不安を感じたときには早めの検査をおすすめします。検査は医療機関で簡単に受けることができ、早期発見・早期治療につながります。
検査は痛いですか?
尿検査・うがい液検査は痛みがありません。
保険は使えますか?
当院は自費診療のため保険証は不要です。プライバシーを守りたい方に安心です。
パートナーと一緒に受けられますか?
はい、同時検査・治療が可能です。
結果はどれくらいで出ますか?
通常3~5日以内です。
他の性病も同時に検査できますか?
可能です。淋菌・梅毒・HIVなどのセット検査もあります。
お知らせ
男性器のお悩み、薄毛・抜け毛・AGA治療・頭皮や髪の毛に関する情報をご紹介します。
横にスクロールしてください